5 mind-expanding facts about your brain that change the way you think about it
This is your brain, explained.

Our brain is the most complex organ in the body. Not only does it control basic life functions like breathing, organ function, and movement, it’s also behind more complex processes – everything from thought, controlling our behavior and emotions, and creating memories. But despite how important our brains are, many people still know very little about it.
This is your brain, explained.
5. It’s always active
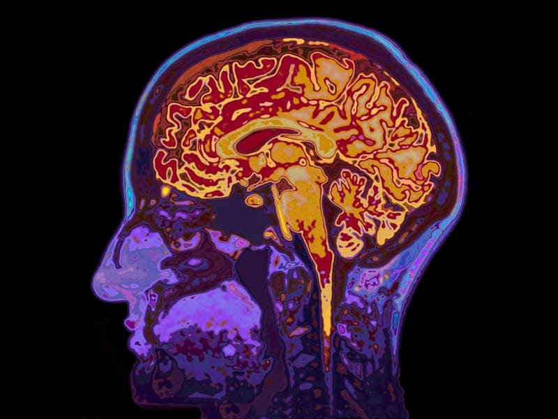
Even when we’re sleeping, our brain is always active. It has to be to keep us alive. But different parts of the brain are responsible for different functions. The brain is divided into four pairs of lobes on each side of the head. The frontal lobes are located near the front of the head and the temporal lobes are just beneath them. The parietal lobes are located in the middle and the occipital lobes are at the back of the head.
The frontal lobe is often associated with what “makes us human”. It’s involved in cognitive processes such as reasoning, learning, creativity, attention and controlling muscles used for movement and speech. It also helps us make memories, and learn to regulate emotions and behavior.
The parietal lobes are involved in a mixture of functions. These include sensory and numerical processing, as well as visuospatial information – which is needed for movement, depth perception, and navigation. The temporal lobes also receive information relating to sounds – including the language we hear – as well as in-memory processes. The occipital lobes are involved in visual processing. When light enters your eyes, it’s transmitted by nerves to this region and converted to an image that you “see”.
The lobes are further divided into functional regions. These are individual regions of a certain lobe that’s responsible for specific functions. For example, an area in the frontal lobe called Broca’s area is specifically involved in language production and comprehension.
By scanning the brain, scientists can measure when and which areas become more active in the brain by looking at which areas experience an increase in blood flow, which delivers the extra oxygen the area needs to function or perform a task. Knowing which parts perform which tasks are important both for research, and when performing surgery.
4. It’s constantly receiving information
The brain is constantly receiving a flow of information. This information is controlled by two pathways, which keep everything in check. Sensory information is what flows into the brain, and motor information is what flows out of it.
Although the brain is always receiving this information, we’re often unaware of it as it goes areas of the brain that process “unconscious” information. For example, information about the position of your muscles and joints is always being sent to the brain – but we rarely notice this until it becomes uncomfortable, or you need to adjust your position.
But when it comes to outgoing motor information – including voluntary actions we control, such as picking something up – we are aware of the function. However, just like sensory information, motor actions can happen involuntarily, like breathing, or the muscles moving food through our gastrointestinal system.
3. About 20 percent of the body’s blood goes to the brain
Maintaining brain function, like with all living tissues, relies on the supply of oxygen from the blood. The brain receives between 15-20% of blood from the heart at rest – but many factors can affect this, including age, gender, and weight. For the average male, around 70 milliliters of blood pump round the body per heartbeat. Therefore, approximately 14 milliliters are delivered to the brain per heartbeat, which is essential for getting oxygen to the brain cells.
There’s a correlation between dominant hand and stroke likelihood.
It’s well known that more strokes – where the blood supply to areas of the brain is interrupted – happen on the left-hand side of the brain. This is important as the right-hand side of the brain controls the left side of the body and vice-versa. Since researchers have found more strokes occur in the left side of the brain – which may impact the functionality of the right-hand side – people who are right-handed might be more likely to suffer a loss of functionality after a stroke.
2. Brain surgery doesn’t hurt
A viral video of a woman playing the violin while surgeons operated to remove a brain tumor has left many people asking a lot of questions about our brains. While this might have seemed bizarre, being awake during brain surgery is actually more common than people might think. Often, surgeries relating to “functional” areas of the brain – areas responsible for movement, speech, or vision – require the patient to be put under general anesthetic and then awoken so that these functions can be assessed as the operation proceeds.
Surprisingly, the actual surgery doesn’t hurt the brain at all. This is because the brain doesn’t have specialized pain receptors called nociceptors. The only painful parts of the surgery are when the incision is made through the skin, skull, and meninges (the layers of connective tissue that protect the brain). Depending on a number of factors the patient may have general or local anesthetic for this part of the procedure.
1. Brain damage can change who we are
A vast amount of what we know about the brain has come from things going wrong. One of the most famous cases is that of Phineas Gage. He was known as a responsible, upstanding worker. But when an accident at work caused a metal rod to go through his skull, the damage to his frontal lobe caused him to become childish, disrespectful and impulsive. Gage showed 19th-century scientists that damage to the frontal lobe can cause significant personality changes.
We also know that people who have lost their vision after their occipital lobe was damaged – either from trauma, tumor growth, or stroke – may still maintain some aspects of sight through something called “blindsight”. This tells us not all visual information goes to the visual cortex in the occipital lobe. People with blindsight might still be able to detect visual information and navigate around obstacles despite their sight loss. Some even report being able to “see” certain emotions and describe how it makes them feel. This shows how highly interconnected brain functions are.
Although researchers know a lot about the brain and what it does, we have much left to learn. We have yet to work out what some areas of the brain do – and how they communicate with other parts of the organ.
This article was originally published on The Conversation by Adam Taylor. Read the original article here.